Варикозне розширення вен: причини й перші симптоми.
Категорія: Новини
Випадіння прямої кишки (ректальний пролапс)
Методи лікування від хірургічних втручань до мінімально інвазивних технік.
Простатит у чоловіків — як розпізнати проблеми на ранній стадії та зберегти здоров’я
Простатит у чоловіків - як розпізнати проблеми та зберегти здоров’я
Харчове отруєння — алгоритм дій та поради для швидкого одужання
Харчове отруєння - як діяти з перших хвилин та уникнути ускладнень захворювання
Кісти в грудях — як розпізнати та лікувати
Кісти в грудях - симптоми, причини, діагностика та сучасне лікування кісти молочної залози
Що варто знати пацієнту про гемороїдальні вузли
Гемороїдальні вузли: симптоми, причини, діагностика та ефективне лікування
Коли родимки на тілі це норма, а коли сигнал до дії
Родимки - коли турбуватися, чому з’являються та як відрізнити небезпечну
Що таке гангрена, як проявляється і чим загрожує
Гангрена - як розпізнати небезпечні симптоми і не втратити дорогоцінний час
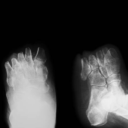
Вальгусна деформація стопи — причини, симптоми та способи лікування
Що таке вальгусна деформація стопи, як вона виникає, які симптоми можуть насторожити, та які методи лікування найефективніші
Що таке розрив меніска, як діагностують і лікують пошкодження колінного суглоба
Як розпізнати розрив меніска та уникнути ускладнень? Розбираємо симптоми, ступені травми, методи лікування й терміни відновлення після операції чи без неї










